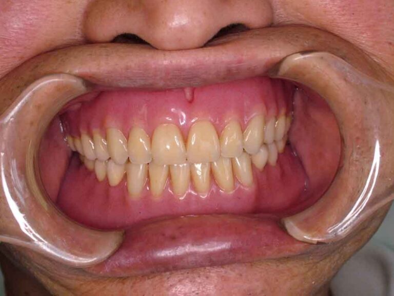
ダイナミック印象で作った総入れ歯
ダイナミック印象という型の採り方で作った上下顎の総入れ歯です。ダイナミック印象という方法は、口が機能したとき、つまりは食べたり、飲み込んだり、喋ったりした状態の口の動きの型を採る方法です。口を動かしたときの型の取り方なので、動的印象(機能印象)とも言います。 … 続きを読む ダイナミック印象で作った総入れ歯
埋め込むにはこの URL をコピーして WordPress サイトに貼り付けてください
埋め込むにはこのコードをコピーしてサイトに貼り付けてください