🦷「天然歯は汚れやすい」って知っていましたか?
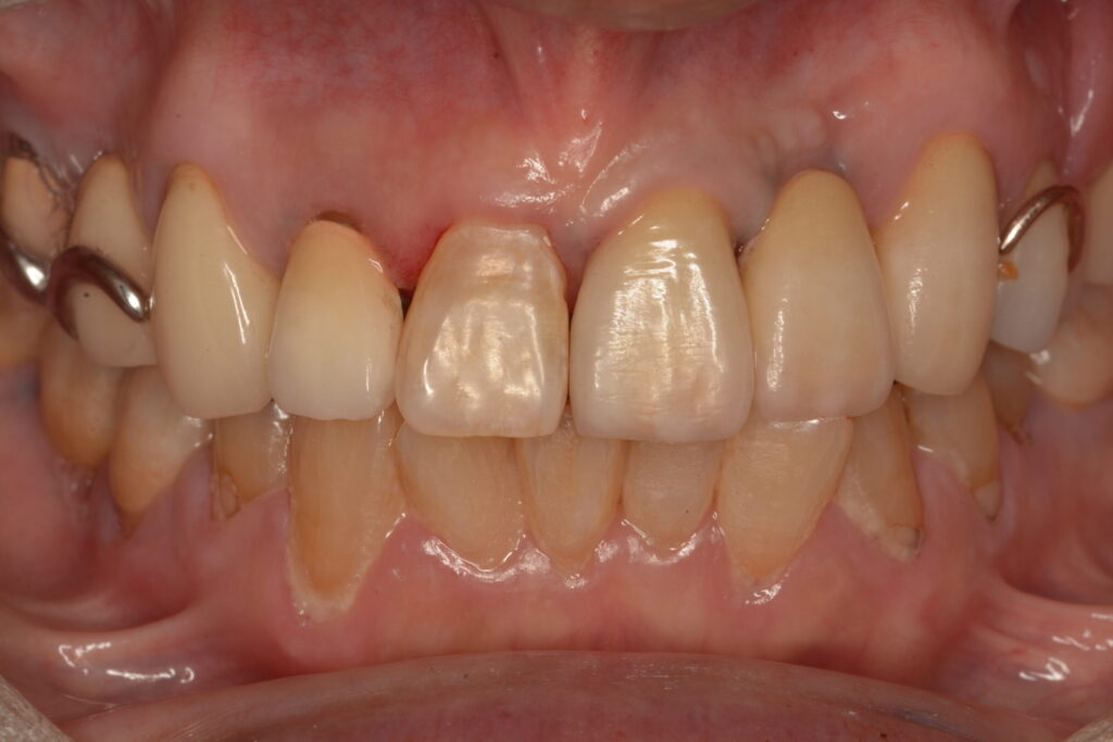
鏡で前歯をじっくり見てみてください。真ん中の歯だけ、なんだか汚れて見える…そんなこと、ありませんか? 下の写真の真ん中の歯、少しくすんで見えますよね。 実はこの歯、天然歯なんです。隣の歯は差し歯(ブリッジ)で、ほとんど汚れがついていません。同じ前歯でも、こんな … 続きを読む 🦷「天然歯は汚れやすい」って知っていましたか?
埋め込むにはこの URL をコピーして WordPress サイトに貼り付けてください
埋め込むにはこのコードをコピーしてサイトに貼り付けてください