前歯の差し歯の治療
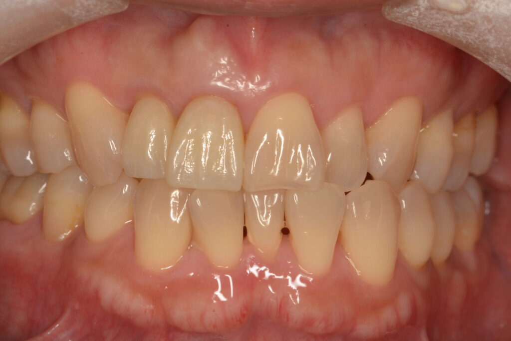
前歯の治療例です。右上の前歯2本、色が気になるということで、差し歯を治しました。ジルコニアという材質で差し歯を作りました。健康保険外の治療になります。(¥187,000×2本) ■ 術前の状態右上の前歯2本は、周囲の天然歯と比べて といった特徴があり、患者さん … 続きを読む 前歯の差し歯の治療
埋め込むにはこの URL をコピーして WordPress サイトに貼り付けてください
埋め込むにはこのコードをコピーしてサイトに貼り付けてください