カテゴリー:
前歯の差し歯の治療
前歯の治療例です。
右上の前歯2本、色が気になるということで、
差し歯を治しました。
ジルコニアという材質で差し歯を作りました。
健康保険外の治療になります。(¥187,000×2本)
■ 術前の状態
右上の前歯2本は、周囲の天然歯と比べて
- 色がやや白く浮いて見える
- 歯ぐきの縁が少し黒ずんでいる
- 表面に凹凸がなく、マットで人工的な質感
といった特徴があり、患者さんは「色と質感」を気にされていました。

■ 仮歯の作製
差し歯を外した後、私自身が仮歯を作製します。
(技工士さんに依頼するのではなく、治療の一環として自分で作り込みます。)
仮歯は、
・元の差し歯
・反対側の天然歯を参考にしながら、
最終的にどのような歯を作るかの“シミュレーション”として
形態・色調・噛み合わせまで細かく調整します。
噛み合わせは前歯の寿命に直結するため、
見た目だけでなく機能面も同時に整えることが重要です。
仮歯で確認するポイントは
- 見た目(色・形・透明感)
- 発音や違和感
- 噛み合わせの安定
- 日常生活での使いやすさ
これらに問題がなければ、最終的なジルコニアクラウンの製作に進みます。

■■ ジルコニアの特性を生かした歯の形成
今回はジルコニアで治すため、ジルコニアの利点を最大限に生かす削り方を行います。
ジルコニアは
- 表面に汚れがつきにくい
- 歯ぐきとの親和性が高い
という特徴があるため、歯の縁を歯ぐきの下までしっかりと形成します。
こうすることで
歯ぐきのラインが美しく整う
歯の形態がより自然に見える
というメリットがあります。
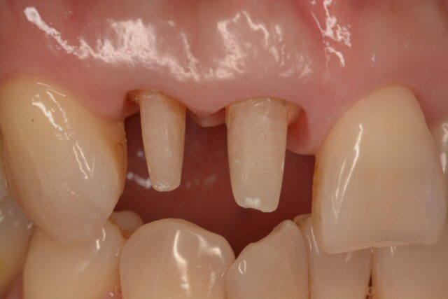
仮歯を外したところ
正面から

上から

■ 仮歯を外した状態
正面・咬合面から見ると、
削った歯の縁が歯ぐきの深い位置にあることが分かります。
この縁に仮歯をぴったり合わせ、
歯ぐきと仮歯が調和する形態に仕上げることで、
歯ぐきは自然で健康的な形に整っていきます。
歯ぐきが整うと、
技工士さんの技術を最大限に発揮できる環境が整うため、
最終的な仕上がりの精度が大きく向上します。
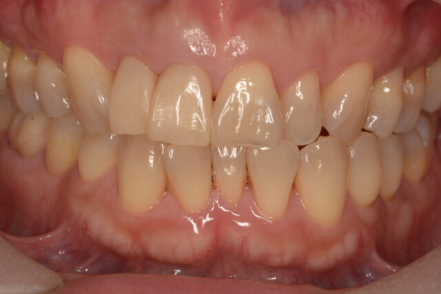
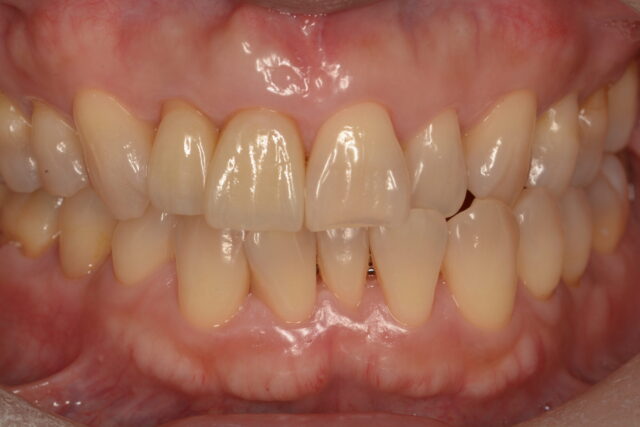
■ 治療直後
自然な透明感と質感が再現され、
周囲の歯とも調和した仕上がりになりました。

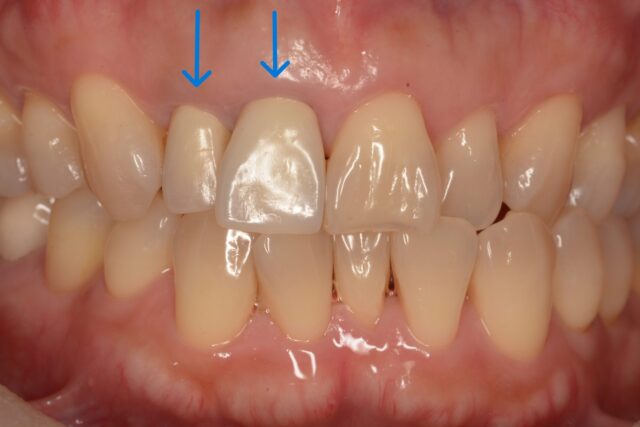
7か月後

拡大
治療直後と7か月後
治療直後

7か月後

■ 7か月後の経過
治療直後と比較すると、
矢印部分の歯ぐきが時間とともに馴染み、
より自然なラインに整ってきています。
まだ7か月ですが、
このまま安定してくれると嬉しいですね。
■ 治療のまとめ
差し歯の治療は、
材料の特性を理解し、それを最大限に生かす治療設計が重要です。
そして、
- 仮歯の精密な作り込み
- 歯ぐきとの調和
- 噛み合わせの調整
- 顕微鏡下での丁寧な工程管理
これらを一つひとつ正確に積み重ねることで、
長持ちし、自然で美しい差し歯が完成します。
ちなみに、今回の治療もすべて顕微鏡下で行っています。