カテゴリー:
ダイナミック印象での入れ歯の作り方
入れ歯を作る方法の一つのである、
ダイナミック印象(機能印象)という方法での、
総入れ歯の作り方のプロセスです。
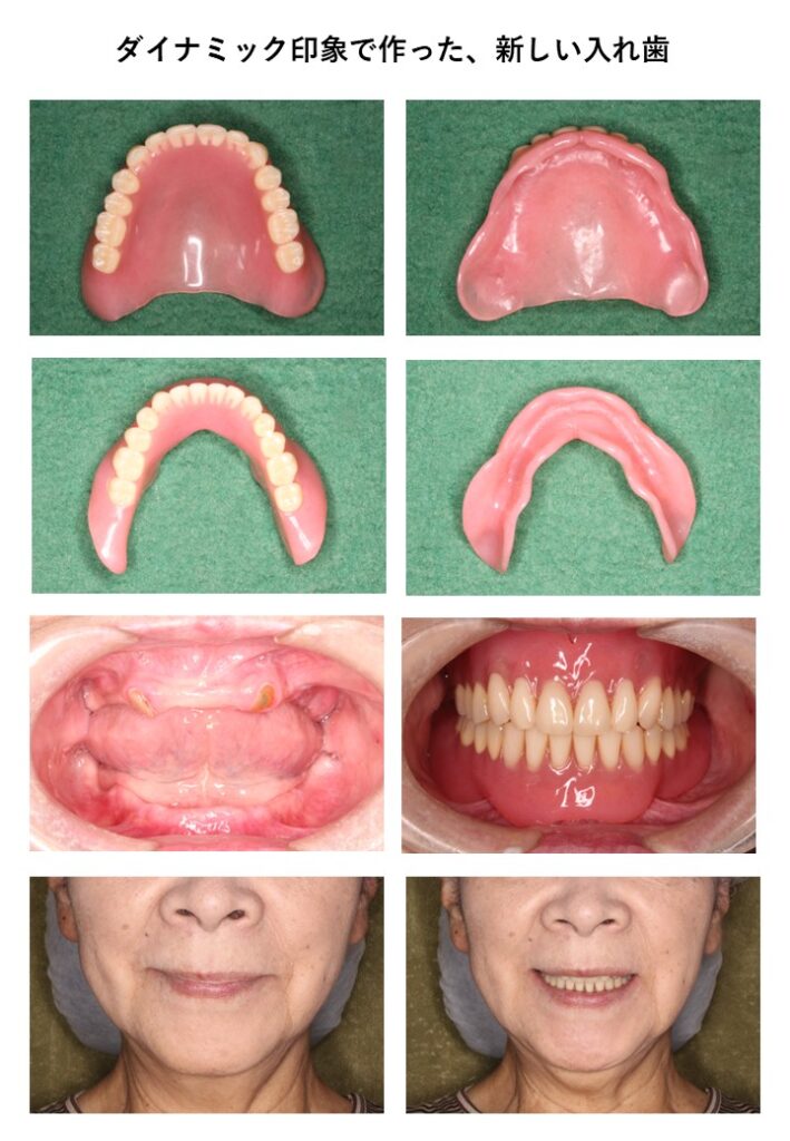
下の写真になります ↓↓↓↓↓↓
入れ歯を作る工程は、大きく分けると4つになります。
①印象採得 いわゆる型どりです
②咬合採得 噛み合わせを取ります
③人工歯配列 入れ歯の歯を並べます
④レジン重合 プラスチックに置き換えて完成させます
この4つの工程がありますが、
①の印象採得がきちんとできていないと、
当然、その後の工程②~④の工程は絶対に上手くいきません。
そのため入れ歯作りで最も大事な工程は、①の入れ歯の型どりになります。
また、目の前にいない患者さんの代わりになる、レプリカとなるからです。
ただし、最も難しい工程でもあります。
そのため古今東西、色々な、種々、ありとあらゆる印象方法が、
多くの先生によって提唱されてきています。
先生によって、この方法が良いとか、あの方法が良いとか色々ありますが、
いき歯科では、その中でもダイナミック印象法(機能印象)という方法で
入れ歯の型どりをしています。
この方法は、仮の入れ歯(治療用の入れ歯)を作り、
粘膜調整剤という、柔らかい状態から徐々に硬化してく材料を
その仮の入れ歯の裏側や縁の部分に盛り上げていきます。
そして実際その入れ歯で、食べたり、飲んだりしてもらい、
全く問題なくなるように、口にピタッと合うように繰り返し調整していきます。
そして全く問題なくなった、口にピタッと合った状態の入れ歯自体を、
新しく作るための入れ歯の型にします。これが印象採得になります。
そのため、いわゆる一般的な印象採得(型どり)である、
口の中に型を採る材料を入れて、型を採る方法とは全く違います。
入れ歯を機能させている状態、
つまり入れ歯で食べたり、飲んだり等の使っている、
機能させている状態の型どりなので、
機能印象といいます。
この方法の良いところは、
食べたり、飲んだり、喋ったり、外れない、痛くない等の
日常生活を全く問題なく送れていた入れ歯と同じ状態の印象が採れるので、
新しく作る入れ歯も、仮の入れ歯と同じ状態に作れるというところにあります。
ただし、仮の入れ歯を作ったり、ピタッと口に合わせるために、
通常の型どりの方法や、その他の型どりの方法に比べると時間はかかります。
(その分出来上がった後の調整は、圧倒的に少ないですが。。。。
全く調整を必要としないこともあります)
また、通常の入れ歯の型取りとは全く違い、とても高度で特殊な技術を必要とします。
そのため、このような入れ歯の作り方を見かけること、聞いたことは、ほとんどないと思います。
しかし、最も理にかなっている印象方法は、このダイナミック印象(機能印象)だと思います。
何せ、実際に食べている入れ歯とほぼ同じ入れ歯を作ることが出来るのですから。。。。。




